If you’re noticing changes to your skin, such as new moles, spots, or skin growths, it’s important to see a Doctor. Early detection of skin cancer is crucial for successful treatment and can significantly improve outcomes.
As an experienced and compassionate dermatologist, I offer comprehensive skin cancer investigations, diagnosis and skin cancer treatment. I’ll be with you every step of the way, providing professional care and support to ensure the best possible result. Timely skin checks can help detect issues early, so don’t wait to get the professional care you need.
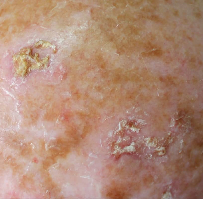
Skin cancer is the abnormal growth of skin cells, often caused by excessive sun exposure or tanning beds. The most common types are basal cell carcinoma, squamous cell carcinoma, and melanoma.
Early signs of skin cancer include new lesions or changes in the appearance of moles, skin growths, or spots. Regular skin checks and skin cancer screenings by a qualified dermatologist are essential for early skin cancer detection. If you notice any unusual changes in your skin, it’s important to seek professional help for an accurate skin cancer diagnosis and appropriate treatment.